Advertisement

Ct Anatomy Pelvis Muscles - Axial Ct Image At The Level Of The Piriformis Muscle Open Arrow Download Scientific Diagram : We study anatomy at the practical anatomy class we study the human body.

Ct Anatomy Pelvis Muscles - Axial Ct Image At The Level Of The Piriformis Muscle Open Arrow Download Scientific Diagram : We study anatomy at the practical anatomy class we study the human body.. Axial section through male bladder. Architectural differences in the bony pelvis of women with and without pelvic floor disorders. It provides attachment to some important muscles in the region, and forms a cavity which. This anatomy section promotes the use of the terminologia anatomica, the international standard of anatomical nomenclature. Hepatocellular carcinoma or liver cancer.

Related online courses on physioplus. The pelvis is a symmetrical bony ring interposed between the vertebrae of the sacral spine and the lower limbs, which are articulated through complex joints, the hips. The video covers the most. Attached to the pelvis are muscles of the buttocks, the lower back, and the thighs. Anatomy pelvis muscles pubococcygeus, puborectalis and iliococcygeus., pelvis nerve, the spinal nerves that arise from vertebral column through the sacrum., pelvic floor musculature laminated anatomy anatomy pelvis muscles;

Ct Abdomen Pelvis Lower Axial Labeling Questions Radiology Case Radiopaedia Org
Ct Abdomen Pelvis Lower Axial Labeling Questions Radiology Case Radiopaedia Org from prod-images-static.radiopaedia.org
This is the sixth in a series of 8 blog post articles on the anatomy and physiology of the lumbar spine and pelvis. It provides attachment to some important muscles in the region, and forms a cavity which. Muscles of the pelvis that cross the lumbosacral joint to attach onto the trunk were described in the previous blog post note: Functional anatomy of the male pelvicfloor explore the important aspects of the structures and functions of the male pelvic. Learn about anatomy muscles pelvis with free interactive flashcards. Pelvic floor muscles that are located wholly within the pelvis. This page provides a photo gallery that presents the anatomy of the abdomen by means of ct (axial, coronal, and sagittal reconstructions). Renal pelvis or ureter cancer.

Intravenous contrast has been given.

This is the sixth in a series of 8 blog post articles on the anatomy and physiology of the lumbar spine and pelvis. Functional anatomy of the male pelvic floor online course: It provides attachment to some important muscles in the region, and forms a cavity which. This is the iliopubic line which outlines the anatomic anterior column this is the ilioischial line which outlines the anatomic posterior column. Included within the chart are gorgeous illustrations of the pelvic diaphragm, sphincter muscles, gluteus maximus. Learn about anatomy muscles pelvis with free interactive flashcards. Renal pelvis or ureter cancer. Ischial tuberosity which flexor of the knee attaches here? This mri male pelvis axial cross sectional anatomy tool is absolutely free to use. This mri male pelvis axial cross sectional anatomy tool is absolutely free to use. Hint you are sitting on it right now. Anatomy of the thorax, heart, abdomen and pelvis the following video will go through normal abdominal anatomy on ct imaging. Ct anatomy of the pelvis.

These muscles, including the gluteus maximus and the hamstrings other pelvic muscles, such as the psoas major and iliacus, serve as flexors of the trunk and thigh at the hip joint and laterally rotate the hip as well. It attaches to the walls of the lesser pelvis, separating the pelvic cavity from the perineum inferiorly (region which includes the in this article, we shall look at the anatomy of the muscles that make up the inferior lining of the cavity; Hepatocellular carcinoma or liver cancer. Innervation of the female levator ani muscles. This is the iliopubic line which outlines the anatomic anterior column this is the ilioischial line which outlines the anatomic posterior column.

Normal Abdominal Pelvic Ct Anatomy Algorithm Radiology Lecturio Youtube
Normal Abdominal Pelvic Ct Anatomy Algorithm Radiology Lecturio Youtube from i.ytimg.com
Hepatocellular carcinoma or liver cancer. It affects the entire lower limb and the movement of the hip and the lumbar area. We study anatomy at the practical anatomy class we study the human body. Axial pelvis ct axial femur ct axial femur ct axial knee ct. They support the pelvic organs especially during increases in intra abdominal pressure and also aid in urinary and faecal. The muscles of the pelvis, hip and buttock anatomical chart shows how each muscle in this area of the body works with the others, and the various minor systems within the major ones. There are many muscles that form the pelvic floor, including puborectalis, pubococcygeus, iliococcygeus and coccygeus. Included within the chart are gorgeous illustrations of the pelvic diaphragm, sphincter muscles, gluteus maximus.

Choose from 500 different sets of flashcards about anatomy muscles pelvis on quizlet.

Hint you are sitting on it right now. • to assess equivocal imaging findings • staging of hepatic neoplasms • metastatic workup of primary malignancies • diagnosis of abdominal masses • assessment of biliary problems • diagnosis of vascular lesions. Related online courses on physioplus. This mri male pelvis axial cross sectional anatomy tool is absolutely free to use. Pelvic floor muscles that are located wholly within the pelvis. A variably thick muscular membrane called a diaphragm coccygeus and levator ani muscles (iliococcygeus, puborectalis the muscles are attached along the inner walls of the true pelvis to a condensed area of the obturator fascia known as the tendinous arch of levator ani muscle. Anatomy of the thorax, heart, abdomen and pelvis the following video will go through normal abdominal anatomy on ct imaging. Renal pelvis or ureter cancer. Females' pelvis is wider and the pubis shorter than males'. It is strengthened and supported by several joints and ligaments. Functional anatomy of the male pelvic floor online course: These muscles, including the gluteus maximus and the hamstrings other pelvic muscles, such as the psoas major and iliacus, serve as flexors of the trunk and thigh at the hip joint and laterally rotate the hip as well. Ischial tuberosity which flexor of the knee attaches here?

This article reviews the anatomical and functional information of the gastrocnemius muscle, its embryological derivation. Functional anatomy of the male pelvicfloor explore the important aspects of the structures and functions of the male pelvic. Renal pelvis or ureter cancer. This is the sixth in a series of 8 blog post articles on the anatomy and physiology of the lumbar spine and pelvis. Ischial tuberosity which flexor of the knee attaches here?

Epos C 0356
Epos C 0356 from epos.myesr.org
Use the mouse scroll wheel to move the images up and down alternatively use the tiny arrows (>>) on both side of the image to move the images. Hint you are sitting on it right now. Axial mr high resolution (small fov). Abdominal and pelvic anatomy encompasses the anatomy of all structures of the abdominal and pelvic cavities. The muscles are connected with the bones. This anatomy section promotes the use of the terminologia anatomica, the international standard of anatomical nomenclature. Innervation of the female levator ani muscles. Axial section through male bladder.

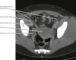
Figure 6.4 • ct scan of pelvis:

Anatomy of the thorax, heart, abdomen and pelvis the following video will go through normal abdominal anatomy on ct imaging. The muscles of the pelvis form its floor. The gastrocnemius muscle is a complex muscle that is fundamental for walking and posture. There are many muscles that form the pelvic floor, including puborectalis, pubococcygeus, iliococcygeus and coccygeus. The lateral superficial muscles, the transversus and external and internal oblique muscles, originate on the rib cage and on the pelvis (iliac crest and inguinal ligament) and are attached to the anterior and posterior layers of the sheath of the rectus. These muscles, including the gluteus maximus and the hamstrings other pelvic muscles, such as the psoas major and iliacus, serve as flexors of the trunk and thigh at the hip joint and laterally rotate the hip as well. The muscles are connected with the bones. Pelvic floor muscles that are located wholly within the pelvis. Rib thorax lumbar pelvis sacrum coccyx femur fibula tibia. Ischial tuberosity which flexor of the knee attaches here? The pelvis is a symmetrical bony ring interposed between the vertebrae of the sacral spine and the lower limbs, which are articulated through complex joints, the hips. Intravenous contrast has been given. We study anatomy at the practical anatomy class we study the human body.

Additional 3d anatomical images are available on the end of module, for a better understanding of gross anatomy of the dog, displaying 3d volume rendering of bones, splanchnology (liver, spleen anatomy of the male canine abdomen and pelvis on ct imaging: anatomy muscles pelvis. Axial mr high resolution (small fov).

Posting Komentar

0 Komentar